診療放射線科
診療放射線科は画像診断を支援する部門として、画像情報の提供や画像データ保存、通信に携わっています。スタッフは診療放射線技師6名(女性1名)、受付1名からなっています。業務は各種X線撮影、透視撮影、CT検査、MRI検査、骨密度測定、病室でのポータブル撮影、歯科撮影などで計13台の放射線機器を扱っています。
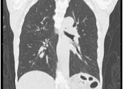
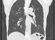
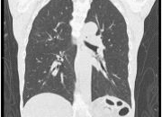
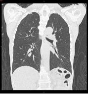
CTは2012年3月にAquilion ONE (320列CT)、 MRIは2014年2月に ECHELON OVAL (1.5T )が導入されました。320列CTは被ばく低減技術 AIDR3Dを使用することで通常のCT検査のみならず、CT検診も 大幅な被ばく低減 が可能となりました。大腸CT検診、肺がんCT検診では従来の1/5~1/10線量で検査をしています。
又新しく導入したMRI装置は、東北初となる楕円形ワイドボアタイプで、ほとんど 圧迫感を感じることのない空間 で、お好きな音楽を聴きながら検査を受けていただけます。
われわれ診療放射線技師の業務内容も多面化し、画像データの送受信やCD-R書きこみ、読影レポートの受信など業務内容も広がりその責任も大きなものになってきました。ドック、検診では胸部X線撮影、胃X線造影検査、マンモグラフィ、頭部MRI、大腸CT検診、低線量肺がんCT検診、冠動脈CT(心臓)を担当しています。
乳癌検診では、マンモグラフィも超音波検査も女性スタッフが対応しますので、気軽に受けていただきたいと思います。
2012年4月には東北初となる、大腸CT検診もスタートしました。320列CTを使用し、ギリギリまで被ばく線量を下げた大腸CT検診、肺がんCT検診、心臓ドックを行っています。是非この機会に当院のCT検診をご利用ください。
私たち診療放射線科スタッフも細心の注意をもって、安全かつ安心な検査を患者さまに提供できるように日々努力していきたいと考えております。







